FRISCO'S FIRST CHOICE FOR BRAIN & SPINE SURGERY (469) 656-9041
FRISCO'S FIRST CHOICE FOR BRAIN & SPINE SURGERY (469) 656-9041
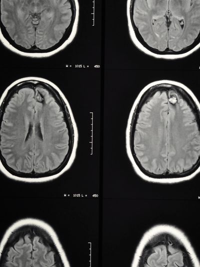
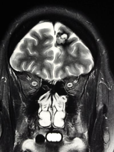
Arteriovenous malformation (AVM) is an abnormal tangle of blood vessels in the brain or spinal cord. AVMs can cause a variety of symptoms, and their severity depends on the size and location of the malformation. Some AVMs may remain asymptomatic and go undetected, while others can cause significant neurological problems. Common symptoms of arteriovenous malformation include:
It is important to note that not all AVMs cause symptoms, and some may be discovered incidentally during brain imaging for unrelated reasons. However, if an AVM is suspected or diagnosed, appropriate medical evaluation and management are essential to prevent potential complications, such as bleeding or neurological deficits.
If you or someone else experiences sudden, severe headaches, neurological deficits, seizures, or any other concerning symptoms, seek immediate medical attention, as these could indicate a serious condition, such as an AVM hemorrhage.

Diagnosing arteriovenous malformation (AVM) typically involves a combination of medical history evaluation, neurological examination, and imaging studies. The process of diagnosis may include the following steps:
Medical History and Neurological Examination:
The doctor will begin by taking a detailed medical history, including any symptoms the patient may be experiencing. They will also inquire about any history of seizures, headaches, neurological deficits, or family history of AVMs. During the neurological examination, the doctor will assess motor function, sensation, reflexes, coordination, and other neurological signs to evaluate potential abnormalities.
Imaging Studies:
Electroencephalogram (EEG): An EEG may be conducted if the patient has a history of seizures. EEG records the brain's electrical activity and can help in evaluating abnormal brain waves associated with seizures.
Neuropsychological Testing: In some cases, neuropsychological testing may be performed to assess the patient's cognitive functions, memory, and language skills if there are concerns about the AVM's impact on these areas.
Once diagnosed, the medical team will evaluate the size, location, and specific characteristics of the AVM to determine the appropriate course of action. Treatment options may include observation for asymptomatic AVMs, surgery, endovascular embolization (blocking the abnormal vessels), stereotactic radiosurgery (focused radiation therapy), or a combination of these approaches.
Early diagnosis and timely intervention are crucial to prevent potential complications, such as bleeding or neurological deficits, associated with AVMs. The treatment plan will be tailored to the individual's specific condition and overall health. A multidisciplinary team of neurologists, neurosurgeons, and interventional radiologists will collaborate to provide the most appropriate care for the patient.

The treatment of arteriovenous malformation (AVM) aims to prevent complications such as bleeding, relieve symptoms, and improve the patient's quality of life. The choice of treatment depends on factors like the AVM's size, location, associated symptoms, and the patient's overall health. There are several treatment options available for AVMs, and in some cases, a combination of treatments may be used. The main treatment options include:
The choice of treatment will depend on factors such as the size, location, and complexity of the AVM, as well as the patient's age and overall health. The medical team, which may include neurosurgeons, interventional radiologists, and radiation oncologists, will work together to create an individualized treatment plan.
It is essential to consider the risks and benefits of each treatment option and discuss them thoroughly with the medical team before making a decision. Early diagnosis and prompt intervention can improve the prognosis and reduce the risk of potential complications associated with AVMs.

A: An Arteriovenous Malformation (AVM) is an abnormal tangle of blood vessels, which can occur in the brain or spinal cord. AVMs disrupt the normal blood flow pattern, as arteries (carrying oxygen-rich blood) are directly connected to veins (carrying oxygen-depleted blood) without the usual capillary network in between.
A: No, not all AVMs cause symptoms. Some AVMs may remain asymptomatic and go undetected for years or even a lifetime. The symptoms and complications of AVMs vary depending on their size, location, and blood flow characteristics.
A: Yes, AVMs are treatable. The appropriate treatment depends on factors such as the size, location, and associated symptoms of the AVM. Treatment options may include observation, surgical resection, endovascular embolization, stereotactic radiosurgery, or a combination of these approaches.
Please send us a message or call us for an appointment.
Fax any documents to (469) 656-9046
5680 Frisco Square Boulevard, Suite 2400, Frisco, Texas 75034, United States
Phone: (469) 656-9041 Fax: (469) 656-9046 info@TNSMD.com
Open today | 08:00 am – 12:00 pm |
.png/:/cr=t:0%25,l:0%25,w:100%25,h:100%25)
We use cookies to analyze website traffic and optimize your website experience. By accepting our use of cookies, your data will be aggregated with all other user data.