FRISCO'S FIRST CHOICE FOR BRAIN & SPINE SURGERY (469) 656-9041
FRISCO'S FIRST CHOICE FOR BRAIN & SPINE SURGERY (469) 656-9041
Chiari malformation is a condition where the cerebellar tonsils, located at the back of the brain, herniate downward into the spinal canal. This can lead to the compression of brain tissue and disturbances in the flow of cerebrospinal fluid. The severity and specific symptoms of Chiari malformation can vary depending on the type and extent of the herniation. Common symptoms of Chiari malformation include:
It's important to note that not all individuals with Chiari malformation experience the same symptoms, and some may remain asymptomatic or have only mild symptoms. Additionally, the onset of symptoms can vary, and they may develop gradually or suddenly.
If someone experiences any of these symptoms or suspects they have Chiari malformation, they should seek medical evaluation and appropriate management by a healthcare professional specializing in neurology or neurosurgery.
Early diagnosis and intervention can help prevent potential complications and improve the individual's quality of life.

Diagnosing Chiari malformation involves a combination of medical history evaluation, neurological examination, and imaging studies. The diagnostic process aims to assess the structure of the brain, the presence of herniation, and any associated abnormalities. The steps for diagnosing Chiari malformation typically include:
Medical History:
The doctor will start by taking a detailed medical history, including a discussion of the patient's symptoms, their onset, and any factors that may worsen or improve the symptoms.
Neurological Examination:
A thorough neurological examination is performed to assess reflexes, muscle strength, sensation, coordination, and other neurological functions. The examination may help identify any signs of neurological deficits or abnormalities.
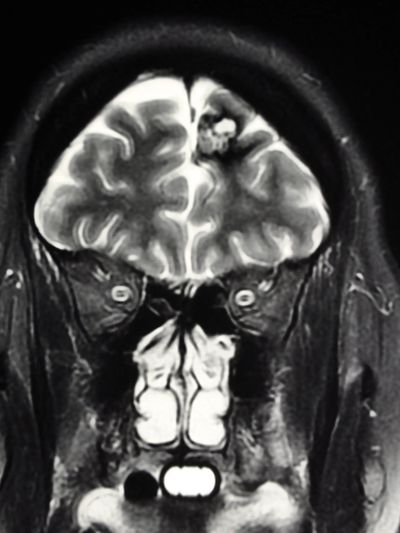
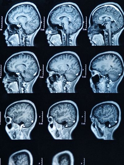
Imaging Studies:
Cine MRI or CSF Flow Studies:
These specialized MRI techniques can be used to evaluate the flow of CSF in and around the brain and spinal cord. They can help identify any obstructions or abnormalities in CSF circulation associated with Chiari malformation.
Neurological Testing:
In some cases, additional neurological tests, such as visual evoked potentials (VEPs) or somatosensory evoked potentials (SSEPs), may be conducted to assess the function of specific neurological pathways.
Lumbar Puncture (Spinal Tap):
In some instances, a lumbar puncture may be performed to analyze the CSF for any signs of infection or to measure CSF pressure.
Once a diagnosis of Chiari malformation is confirmed, the medical team, which may include neurologists, neurosurgeons, and neuroradiologists, will determine the most appropriate course of treatment. Treatment options may include observation, medications to manage symptoms, or surgery to alleviate pressure on the brain and spinal cord caused by the herniation.
The treatment plan will be tailored to the individual's specific condition and symptoms, with the goal of improving their quality of life and preventing potential complications.

The treatment of Chiari malformation aims to alleviate symptoms, improve the flow of cerebrospinal fluid (CSF), and prevent further neurological damage. The choice of treatment depends on the severity of symptoms, the extent of herniation, and the presence of associated complications. Treatment options for Chiari malformation include:
Observation:
For some individuals with mild or asymptomatic Chiari malformation, close monitoring and observation may be recommended. Regular follow-up visits with a healthcare professional specializing in neurology or neurosurgery will help assess the progression of the condition and the development of any new symptoms.
Medications:
Medications can be used to manage specific symptoms associated with Chiari malformation. For example, pain relievers may help alleviate headaches, and muscle relaxants can reduce muscle spasms. Medications to control excess CSF production may be prescribed to manage hydrocephalus (accumulation of fluid in the brain).
Surgery:
Shunting: If Chiari malformation is associated with hydrocephalus (accumulation of excess fluid in the brain), a shunt may be implanted. A shunt is a thin tube that is inserted to drain the excess CSF from the brain to another part of the body, usually the abdominal cavity. Shunting helps reduce the pressure on the brain caused by fluid accumulation.
.
The choice of treatment depends on the individual's specific symptoms, the presence of associated conditions, and the extent of neurological deficits. The medical team, which may include neurologists, neurosurgeons, and neuroradiologists, will work together to develop an individualized treatment plan.
Regular follow-up care and ongoing management are crucial to monitor the condition's progression and address any new symptoms that may arise.

A: Chiari malformation is typically congenital, meaning it is present at birth. However, symptoms may not become apparent until later in childhood, adolescence, or even adulthood.
A: Complications of Chiari malformation can include syringomyelia (formation of fluid-filled cysts in the spinal cord), hydrocephalus (excess fluid in the brain), and neurological deficits. If left untreated, Chiari malformation can lead to progressive neurological deterioration.
A: In some cases, Chiari malformation can be progressive, meaning that the herniation and associated symptoms may worsen over time. Regular monitoring and follow-up are essential to assess any changes in the condition.
Please send us a message or call us for an appointment.
Fax any documents to (469) 656-9046
5680 Frisco Square Boulevard, Suite 2400, Frisco, Texas 75034, United States
Phone: (469) 656-9041 Fax: (469) 656-9046 info@TNSMD.com
Open today | 08:00 am – 12:00 pm |
.png/:/cr=t:0%25,l:0%25,w:100%25,h:100%25)
We use cookies to analyze website traffic and optimize your website experience. By accepting our use of cookies, your data will be aggregated with all other user data.